Estado de México, México, 2025

Preparación para el Taller

Este documento es para que puedas preparar tu equipo de computo para los talleres. Es importante que todos los pasos deban completarse antes del evento, ya que pueden tardar en cargarse.

Si tienes alguna duda o problema, ponte en contacto con nosotros por correo electrónico: vmmontanos@uaemex.mx o por medio de Google Meet, los días 10 y 11 de Noviembre de 2025 en un horario de 13:00 a 14:00 en: https://meet.google.com/smm-mhoc-uig.

Descargar los Conjuntos de Datos

Descargar y configura 3D Slicer

Descargar 3D Slicer

Descarga la versión estable del 3D Sliecre haciendo clic en el enlace de tu sistema operativo:

Windows
MacOS
Linux
Windows
MacOS
Linux

Descarga el paquete de lenguajes

  1. Haz clic en el administrador de extensiones
    Administrador de extensiones
  2. Busca LanguagesPacks y haz clic en instalar
    Instalar LanguagesPacks
  3. Haz clic en el botón de reiniciar; el software se reiniciará e instalará las extensiones
    Reiniciar software

Configurar 3D Slicer en español

Después de que se reinició Slicer se debe cambiar el idioma que trae configurado implementando los siguientes pasos

  1. Abre el módulo Language Tools:
    Language Tools
  2. Selecciona la opción Github (actualizaciones diarias)
    Seleccionar idioma
  3. Haz clic en "Actualizar archivos de traducción" y espera el mensaje "¡Actualización completada! ..."
    Actualizar traducciones Actualizar traducciones 2
  4. Luego selecciona el idioma español y haz clic en reiniciar
    Reiniciar para aplicar idioma

Al final debes de ver el mensaje de bienvenida en español.

Interfaz en español

Puedes seguir el video tutorial de YouTube: Instalación de 3D Slicer

Instalación de extensiones

Para este taller, necesitamos instalar las extensiones: TotalSegmentator, MonaiAuto3DSeg.

  1. Haz clic en el administrador de extensiones
    Administrador de extensiones
  2. Busca TotalSegmentator en la barra de búsqueda y haz clic en instalar
    Instalar TotalSegmentator
  3. Cuando termine el proceso de instalación cambiara el boton de "Instal" a verde. Esta extención tambien instala la extensión "NNUNet"
    TotalSegmentator instalado
  4. Busca MonaiAuto3DSeg y haz clic en instalar
    Instalar MonaiAuto3DSeg
  5. Cuando termine el proceso de instalación cambiara el boton de "Instal" a verde.
    MonaiAuto3DSeg instalado
  6. Haz clic en el botón de reiniciar; el software se reiniciará e instalará las extensiones
    Reiniciar software

Prueba las extensiones

  1. Haz clic en "Descargar datos de muestra"
    Descargar datos de ejemplo
  2. Haz clic en "CTChest":
    CTChest
  3. Al final de este proceso, deberías tener los datos cargados
    Datos cargados
  4. Ve al módulo TotalSegmentator:
    TotalSegmentator
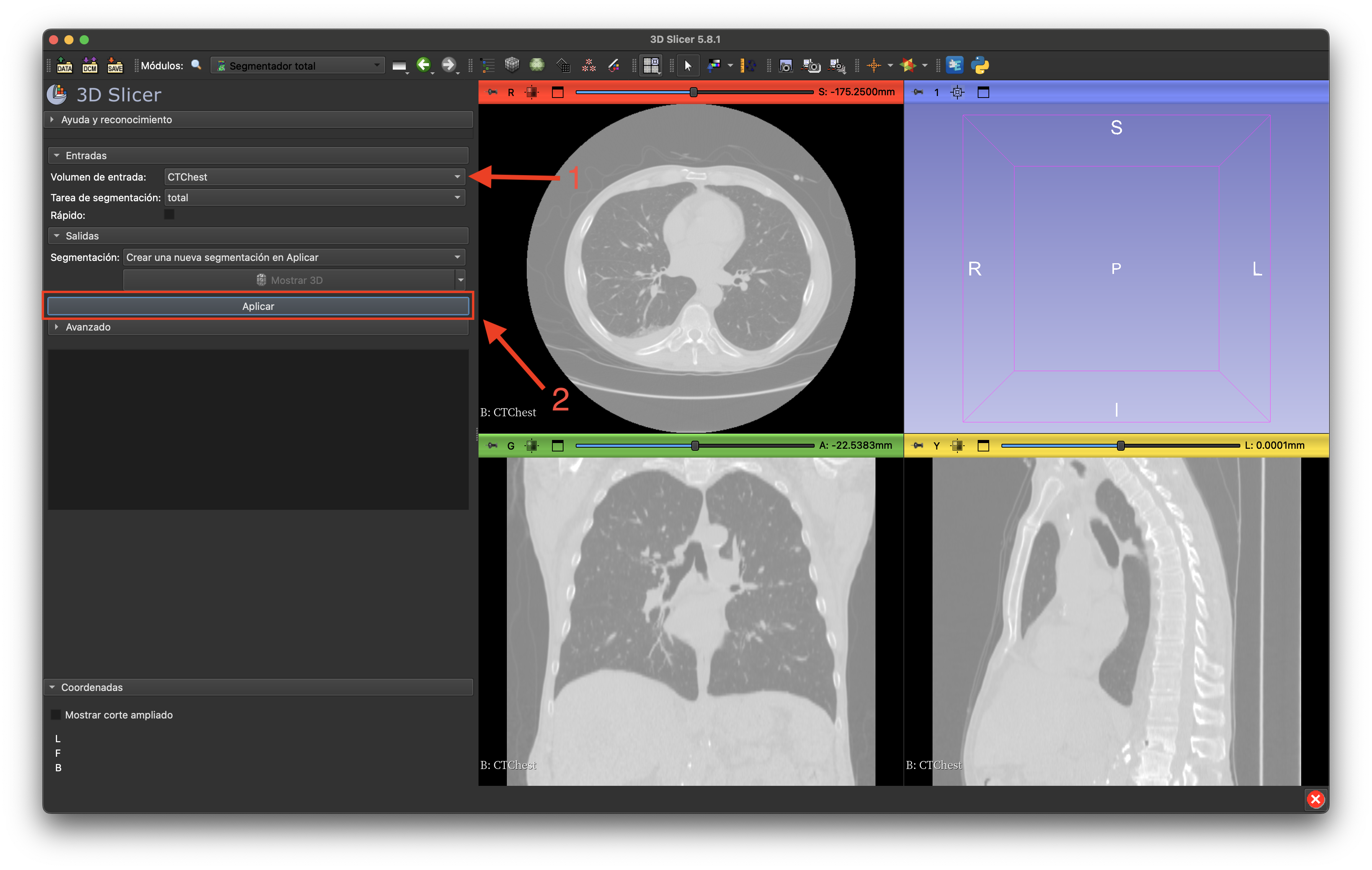
  5. Selecciona "CTChest" en "Volumen de entrada" y haz clic en "Aplicar"
    Aplicar modelo
  6. Cuando aparezca la ventana emergente, haz clic en "OK"
    Confirmar
  7. Si aparece "No se detecta GPU", selecciona "Rápido"
    Opción rápida
  8. Al final de este proceso, el modelo debería estar segmentado. Para poderlo ver haz clic en "Mostrar 3D"
    Modelo segmentado
  9. Ahora deberas poder ver el modelo en 3D segmentado
    Modelo segmentado